Przycinanie drutu od aparatu ortodontycznego może być stresującym doświadczeniem, szczególnie gdy powoduje dyskomfort lub ból. Właściwe podejście do tej procedury jest kluczowe, aby uniknąć uszkodzeń aparatu oraz zranienia jamy ustnej. W artykule omówimy, jak bezpiecznie przyciąć drut, jakie narzędzia są potrzebne oraz jakie są alternatywy, gdy cięcie nie jest konieczne.
Warto pamiętać, że samodzielne przycinanie drutu wiąże się z pewnym ryzykiem. Dlatego zawsze najlepiej jest skonsultować się z ortodontą, który dysponuje odpowiednimi narzędziami i doświadczeniem. Jeśli jednak nie masz możliwości wizyty u specjalisty, przedstawimy kroki, które możesz podjąć, aby zminimalizować ryzyko i skutecznie poradzić sobie z problemem.
Najważniejsze informacje:
- Bezpieczne cięcie drutu wymaga odpowiednich narzędzi, takich jak cążki do paznokci lub ostra igła.
- Przed cięciem należy upewnić się, że drut nie jest zbyt napięty, aby uniknąć uszkodzeń.
- W przypadku bólu lub podrażnienia można użyć wosku ortodontycznego jako tymczasowego rozwiązania.
- W sytuacjach awaryjnych, gdy drut się złamał lub przesunął, należy delikatnie go odgiąć lub przesunąć z powrotem do zamka.
- W każdym przypadku, gdy wystąpią problemy z aparatem, należy jak najszybciej skonsultować się z ortodontą.
Jak bezpiecznie przyciąć drut od aparatu ortodontycznego bez ryzyka
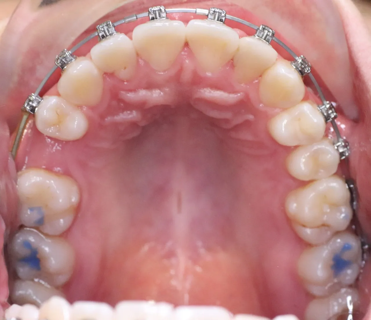
Bezpieczne przycinanie drutu od aparatu ortodontycznego jest kluczowe, aby uniknąć uszkodzenia aparatu oraz zranienia jamy ustnej. Przed przystąpieniem do cięcia, należy upewnić się, że drut nie jest zbyt napięty. Zastosowanie odpowiednich narzędzi jest niezbędne, aby móc wykonać tę czynność precyzyjnie i bezpiecznie.
Pamiętaj, że niewłaściwe cięcie może prowadzić do poważnych problemów, takich jak ból czy infekcja. Dlatego, jeśli czujesz się niepewnie, zawsze lepiej jest skonsultować się z ortodontą. W sytuacjach awaryjnych, kiedy nie ma możliwości wizyty u specjalisty, można spróbować samodzielnie przyciąć drut, jednak należy to robić z maksymalną ostrożnością.
Narzędzia potrzebne do bezpiecznego cięcia drutu ortodontycznego
Aby skutecznie przyciąć drut ortodontyczny, potrzebne są odpowiednie narzędzia. Do najczęściej używanych należą cążki do paznokci oraz ortodontyczne nożyczki. Cążki do paznokci są łatwo dostępne i mogą być używane do precyzyjnego cięcia drutu, jednak ważne jest, aby były w dobrym stanie, aby uniknąć zagnieceń czy uszkodzeń.
- Cążki do paznokci XYZ – idealne do precyzyjnego cięcia, zapewniające dokładność.
- Nożyczki ortodontyczne ABC – specjalnie zaprojektowane do cięcia drutów, oferujące wygodny uchwyt.
- Ostra igła DEF – przydatna do delikatnego podważania drutu przed cięciem.
Krok po kroku: Jak prawidłowo przyciąć drut w aparacie
Aby bezpiecznie przyciąć drut od aparatu ortodontycznego, należy najpierw odpowiednio się przygotować. Zgromadź wszystkie potrzebne narzędzia, takie jak cążki do paznokci lub ortodontyczne nożyczki. Upewnij się, że miejsce, w którym będziesz pracować, jest dobrze oświetlone. Przed przystąpieniem do cięcia, delikatnie podważ drut, aby sprawdzić, czy nie jest zbyt napięty. To ważny krok, który pomoże uniknąć nieprzyjemnych niespodzianek.
Kiedy już upewnisz się, że drut jest w odpowiedniej pozycji, przystąp do cięcia. Przytrzymaj drut blisko zamka lub pierścienia i użyj wybranego narzędzia do precyzyjnego cięcia. Pamiętaj, aby nie ciąć zbyt daleko od zamka, aby nie uszkodzić innych elementów aparatu. Po wykonaniu cięcia, sprawdź, czy nie pozostały żadne ostre krawędzie, które mogłyby podrażnić jamę ustną.
Po cięciu ważne jest, aby odpowiednio zadbać o miejsce, w którym drut został przycięty. Możesz użyć wosku ortodontycznego, aby zminimalizować dyskomfort, jeśli drut nadal powoduje podrażnienia. Regularnie sprawdzaj, czy nie występują nowe problemy z aparatem, a w razie potrzeby skonsultuj się z ortodontą. Pamiętaj, że samodzielne przycinanie drutu wiąże się z ryzykiem, dlatego zawsze warto być ostrożnym.
Użycie wosku ortodontycznego jako tymczasowe rozwiązanie
Wosk ortodontyczny to skuteczne tymczasowe rozwiązanie na dyskomfort spowodowany drutem aparatu. Aby go zastosować, najpierw umyj ręce, aby zapewnić czystość. Następnie odłam mały kawałek wosku i uformuj go w kulkę. Przyłóż wosk do miejsca, gdzie drut dotyka błony śluzowej jamy ustnej, tworząc barierę, która zminimalizuje podrażnienia.
Wosk ortodontyczny jest łatwy w użyciu i można go stosować w dowolnym momencie, gdy odczuwasz dyskomfort. Jego główną zaletą jest to, że tworzy ochronną warstwę między drutem a wewnętrzną stroną policzka, co pozwala na komfortowe noszenie aparatu. Pamiętaj, że wosk należy wymieniać co kilka dni, aby utrzymać jego skuteczność oraz higienę.
Jak radzić sobie z niewygodnym drutem bez cięcia
Jeśli drut aparatu ortodontycznego powoduje dyskomfort, istnieje kilka sposobów na złagodzenie bólu bez konieczności cięcia. Po pierwsze, warto unikać twardych i lepkich pokarmów, które mogą nasilać podrażnienia. Zamiast tego, wybieraj miękkie pokarmy, takie jak jogurt, puree ziemniaczane czy zupy, które są łatwiejsze do przeżucia.
- Stosuj zimne okłady na zewnętrzną stronę policzka, aby złagodzić ból i obrzęk.
- Używaj pasty do zębów przeznaczonej dla osób noszących aparaty, która może pomóc w zmniejszeniu dyskomfortu.
- Unikaj dotykania drutu językiem, aby nie nasilać podrażnień.

Kiedy należy skonsultować się z ortodontą w przypadku problemów
W przypadku noszenia aparatu ortodontycznego, ważne jest, aby być świadomym objawów, które mogą wskazywać na konieczność konsultacji z ortodontą. Jeśli odczuwasz ból lub nasilające się podrażnienia w jamie ustnej, może to być oznaką, że drut lub inny element aparatu nie działa prawidłowo. Dodatkowo, jeśli zauważysz, że drut jest złamany lub przesunięty, niezwłocznie zgłoś się do specjalisty, aby uniknąć dalszych komplikacji. Ignorowanie tych objawów może prowadzić do poważniejszych problemów zdrowotnych.
Oprócz bólu i uszkodzeń, inne objawy, które powinny skłonić cię do wizyty u ortodonty, to krwawienie z dziąseł lub niewłaściwe dopasowanie aparatu. Jeśli aparat nie przylega dobrze, może to prowadzić do dyskomfortu i dodatkowych uszkodzeń. Zawsze lepiej jest działać prewencyjnie i skonsultować się z ortodontą, gdy tylko zauważysz coś niepokojącego, aby zachować zdrowie jamy ustnej i efektywność leczenia.
Objawy, które wymagają natychmiastowej wizyty u specjalisty
Niektóre objawy wymagają natychmiastowej konsultacji z ortodontą. Jeśli odczuwasz silny ból w obrębie aparatu, który nie ustępuje po zastosowaniu standardowych środków przeciwbólowych, to sygnał, że coś jest nie tak. Złamany drut czy przesunięcie elementów aparatu mogą prowadzić do dalszych uszkodzeń zębów lub dziąseł. Ponadto, jeśli zauważysz podrażnienia lub krwawienia w jamie ustnej, koniecznie zgłoś się do specjalisty. Ignorowanie tych objawów może prowadzić do poważnych problemów zdrowotnych, które mogą wymagać dodatkowych wizyt i kosztów.
Jak unikać problemów z aparatem ortodontycznym w przyszłości
Aby zapobiegać problemom z aparatem ortodontycznym, kluczowe jest utrzymanie odpowiedniej higieny jamy ustnej. Regularne szczotkowanie zębów co najmniej dwa razy dziennie oraz używanie nici dentystycznej pomoże w usunięciu resztek jedzenia, które mogą prowadzić do próchnicy. Ponadto, warto stosować płyny do płukania ust, które pomogą w utrzymaniu świeżości i zdrowia dziąseł. Regularne wizyty u ortodonty są również niezbędne, aby monitorować postępy leczenia i wprowadzać ewentualne korekty.
Oprócz higieny, istotne jest unikanie twardych i lepkich pokarmów, które mogą uszkodzić aparat. Warto także zrezygnować z żucia gumy, ponieważ może to prowadzić do przesunięcia drutów. Edukacja na temat odpowiednich nawyków żywieniowych oraz dbanie o aparat to kluczowe elementy, które pomogą w uniknięciu problemów w przyszłości.
Czytaj więcej: Ile kosztuje wymiana szkiełka aparatu w telefonie? Ceny, które zaskakują
Jak technologia może wspierać leczenie ortodontyczne w przyszłości
W miarę jak technologia się rozwija, innowacyjne rozwiązania zaczynają odgrywać coraz większą rolę w leczeniu ortodontycznym. Przykładem są aplikacje mobilne, które umożliwiają pacjentom monitorowanie postępów leczenia oraz przypominają o regularnych wizytach u ortodonty. Takie narzędzia mogą również dostarczać spersonalizowane porady dotyczące diety i higieny, co może znacząco wpłynąć na efektywność leczenia.
Dodatkowo, technologia 3D i skanowanie cyfrowe stają się standardem w ortodoncji, co pozwala na dokładniejsze planowanie leczenia i szybsze dostosowywanie aparatów. Dzięki tym zaawansowanym technikom, ortodonci mogą lepiej przewidywać wyniki leczenia i dostosowywać aparaty do indywidualnych potrzeb pacjentów, co prowadzi do bardziej komfortowego i efektywnego procesu leczenia.